まず、申し上げたいのは、「私が何か悪いことをしたからダウン症になったんだ」などと考えるのはやめたほうが良いということです。特に、合併症の手術の最中などはそのように悲観的になってしまうこともあります。やめろと言われても・・・。そうです、やめられませんよね。私は、姪がダウン症なので、一歩ひいた目線でダウン症というものに対峙しています。それゆえ、ご両親の気持ちは正直分かりません。でも、皆さんのブログを読んだり交流サイトで知識を得たりしてお役に立てることはないか、そう思って今までこのサイト作りをしてきました。でもまだまだ満足できません。そこで、思いついたのが、徹底的にダウン症のことを調べて、そのメカニズムを解明し、「親御さんのせいではないんだ!」ということを立証しようということです。科学的に解明されれば、少しは気が晴れるのではないかと思ったのです。それがこのページの趣旨です。
ダウン症には、3種類あります。
トリソミー21は、以下のように21番目の染色体が3本になってしまっている状態です。染色体は、父親と母親から1本ずつもらいます。21番染色体の3本目は、父親か母親のどちらから2本もらってしまった結果です。

転座型は、21番染色体が、他の染色体にくっついてしまう症状です。これは、遺伝すると言われています。
モザイク型は、正常な細胞とトリソミーの細胞が混在している状態です。例えば、手足の細胞は正常なのに、心臓細胞はトリソミーだったりします。
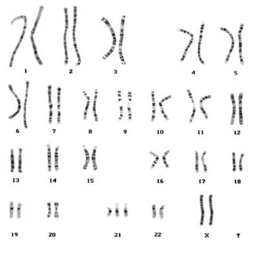
人の体には、およそ60兆個の細胞があると言われています。その全ての細胞の中には、細胞核があり、その中には、上図のような23対の染色体が存在します(健常の場合には、21番染色体は、1対です)。以下の説明では、23対の染色体を全て描くと見にくくなるので、21番染色体のみを描きます。
卵子と精子が受精することで、受精卵ができます。卵子や精子の中には、通常、1対の染色体が、存在しています。
卵子や精子ができる時には、元となる細胞内の2本の21番染色体が、最終的に、1本に別れて、卵子や精子中に入ることになります。その過程を減数分裂といいます。

減数分裂は、受精に先立ち、2倍体(染色体が2対ずつある状態)の細胞から1倍体(染色体が1対の状態、図の一番下)の細胞を作り出します。減数分裂では、2倍体の細胞がDNAを倍加(4本になる)させた後、2回の連続的な分裂を経て1倍体の細胞を4個作ります。減数分裂では、第1回目の細胞分裂の後で続けて複製なしにDNAの分配が起こります。2倍体の細胞では、染色体ごとに父親由来のものと母親由来のものが1対あり、相同染色体と呼ばれています。23本の染色体があるので、223の組み合わせがあります。減数分裂過程では、相同染色体はペアを作ります(対合)。そして、父親と母親由来の相同染色体間で交叉(crossing-over)が起こります。この交叉のところで染色体の乗換え(部分的に入れ替わる)が起き、遺伝子の組み合わせが変わります。これを組換え(recombination)と呼びます。父親由来の染色体と母親由来の染色体が交叉し付着した部分はキアズマと呼ばれます。交叉と組換えにより、配偶子は多種多様なものになります。精液中に精子が大量にあっても遺伝的に全く同じものは実質ないと言われています。
染色体不分離とは、減数分裂(染色体が一旦4本になり、その後1本ずつに分離される)の時にうまく1本ずつにならないで、2本になってしまう現象のことです。この染色体不分離が、ダウン症の主原因であるようです。
染色体不分離が起きると…

減数分裂の第一分裂の時に、染色体不分離が起き、染色体が3本の細胞ができてしまった例を示しています。その後の減数分裂の第二分裂の際に、染色体が2本ある細胞ができてしまいます。1本のは、正常細胞で、染色体の無いものも異常です。
女性の卵で、この不分離が起こると…

女性の卵の21番目の染色体が2本あり、男性の精子の21番染色体が正常な場合、両者からの受精卵は、21番染色体が3本になってしまいます。これが、ダウン症(トリソミー21)です。この例では、女性の卵の染色体が2本の例を示しましたが、もちろん男性の精子の染色体が2本になる場合もあります。
また、様々なトリソミーの表もあります。

21番染色体のトリソミーは、この例では、642ケースあり、父親の「減数分裂の第一分裂(Meiosis I)」で3%、「減数分裂の第二分裂(Meiosis II)」で5%、母親の「減数分裂の第一分裂(Meiosis I)」で65%、「減数分裂の第二分裂(Meiosis II)」で23%、残りは減数分裂後のエラーです。
ダウン症は、特に母親の高齢出産での発症率が高いというデータもあります。以下の図のようになっております。アメリカにおける統計では、20 - 24歳の母親による出産ではおよそ1/1562なのに対し、35 - 39歳でおよそ1/214、45歳以上の場合はおよそ1/19と高率となっているそうです。

さらに、データを挙げますと、受精後の細胞分裂での異常というのもかなりの率であります。また、卵の約20%、精子の3〜4%そして胎児の25%が異数体というデータもあります。そして、妊娠第1三半期に比較的起こりやすい自然流産の約半分が減数分裂期(卵子や精子が形成される時期)における染色体分配(染色体を2つに分ける)異常に起因すると考えられているようです。そして、人には、異数体が発生したときにそれをチェックして細胞を殺す機能が備わっているんですが、卵の場合は、精子の場合に比べてそれがゆるく設定されているようで、卵の異数体が増える原因にもなっています。
情報が古かったり、間違っていることなどによる損害の責任は負いかねますので、ご了承ください。
Copyright (C) ダウン症のポータルサイト. All Rights Reserved.